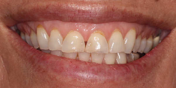
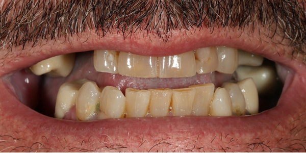
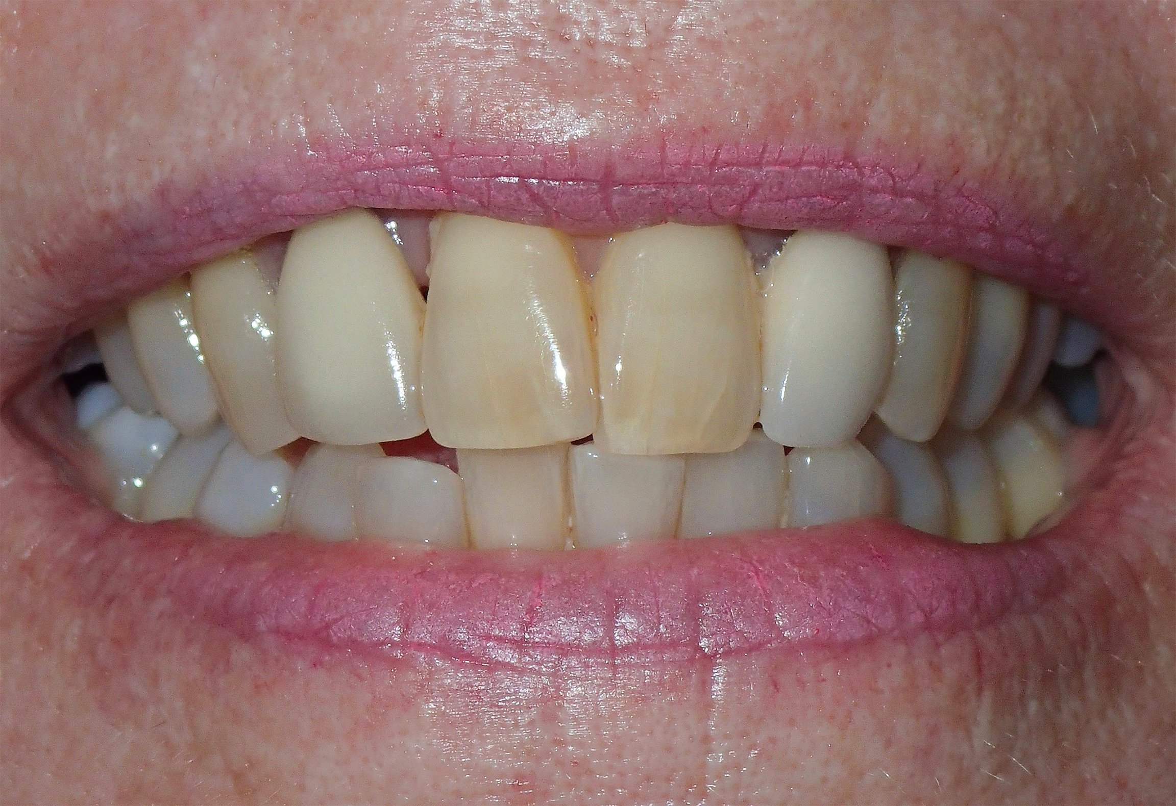
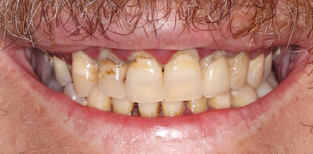
Before & After
Visible Results
If you are dissatisfied with your smile, Smiles in the Gardens can help. We provide a range of cosmetic dentistry and reconstructive dentistry options to repair dental problems and give you a beautiful, healthy smile. If you live near our office in Palm Beach Gardens, Florida, our cosmetic dentist team can give you a dramatic smile makeover, using state-of-the-art treatments to transform your smile. The patients in our before and after gallery display just a few examples of the life-changing results that are possible with cosmetic dentistry.
























































